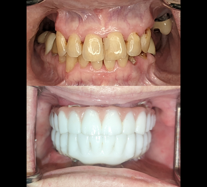
Smile in one day for our lovely patient! Dual arch PFAST case. Recurrent caries, non-restorable terminal dentition.
Following the PATZI protocol as always for the maxillary arch. CTV over 320Ncm. The mandibular arch is traditional All on 6 set up.
3D facially driven restorations using Instarisa facial scanner and micron mapper. Prosthesis printed using Einstein 3D printer and double arch delivered same day with little to no adjustment on occlusion.
Wonderful collaboration with Dr. Henry Sung at True Love Dental. Pterygoid implants Noris Medical @norismedical_usa @eileennorismedical Alveolar implants Neodent GM Helix @neodent_maryland_dc @paige_neodentmidatlantic @neodent.us #advancedimplantsandperiodontics #happypatient #allonx #allon4 #allonfour #dentalimplants #beforeandafter #digitaldentistry #digitaldentist #digitaldental #dentallab #dentist #dentistry #dental #smile #bestdentist #smile #lifechanging #oralsurgery #implantdentistry #surgeon #surgery #allon6 #fullarch #dream #happiness #dentalimplants #3Dfacialscanner
We deliver and maintain beautiful, healthy smile.
📞240-651-5478
💻 https://www.Frederickimplant.com
📍6550 Mercantile Dr E #201, Frederick, MD
