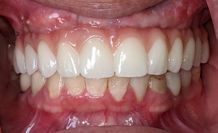
A new smile is life changing! It will change the way you look and the way you feel. In just one day, we removed all of her remaining teeth, placed 5 dental implants, and designed/ customized new teeth fixed to the implants to give her a life changing smile. Not only was her goal met of “fixing her teeth”, but now she has the smile she deserves!
To learn whether you are a good candidate for this treatment, visit our website page at All on X Implant Therapy – Advanced Implants & Periodontics All on X Implant Therapy – Advanced Implants & Periodontics (frederickimplant.com) or give us a call at 240-651-5478 to schedule a consultation.

