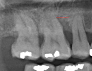
Bone loss is a destructive process that is bacterial-driven and can be exacerbated by clenching and grinding. Using our laser for non-invasive surgical treatment, there has been a significant increase in bone level and attachment around this molar. Patients prefer this surgical treatment because it requires no cutting or sewing of the gum tissue and new bone can be formed. If you struggle with periodontal disease come to see how we can help you get a healthier smile! Visit our webpage at www.frederickimplant.com or give us a call at 240-651-5478 to schedule a consultation.
