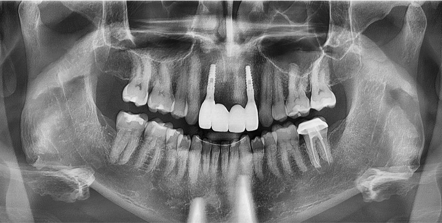
Many years ago, this patient had trauma and he had developed an abscess requiring the removal of his front four teeth. Using fully guided implant surgery we were able to rebuild his smile with bone grafting and implants. We love to see our patients smile!
Visit our webpage at www.frederickimplant.com or give us a call at 240-651-5478 to schedule a consultation.
